CAN THIỆP NỘI MẠCH ĐIỀU TRỊ THÀNH CÔNG CA PHÌNH ĐỘNG MẠCH CHỦ
Thứ Hai, 26/01/2026
Lượt xem: 18
Đơn nguyên Can thiệp Tim mạch, Khoa Hồi sức Cấp cứu – Bệnh viện Bưu điện vừa điều trị thành công một trường hợp phình động mạch chủ bằng kỹ thuật can thiệp nội mạch hiện đại. Đây là phương pháp điều trị tiên tiến, đòi hỏi ê-kíp có chuyên môn và kinh nghiệm, cùng sự hỗ trợ của phòng can thiệp mạch đạt chuẩn với hệ thống chụp mạch số ho&aa
Ekip bác sĩ Đơn nguyên Can thiệp Tim mạch, Khoa Hồi sức Cấp cứu – Bệnh viện Bưu điện
thực hiện kỹ thuật can thiệp nội mạch cho người bệnh
Người bệnh là ông Nguyễn Văn C. (74 tuổi, Hà Nội) nhập viện trong tình trạng đau ngực kéo dài kèm khó thở, thường xuyên hoa mắt, chóng mặt, ảnh hưởng đáng kể đến sinh hoạt và chất lượng cuộc sống. Người bệnh có tiền sử tăng huyết áp và đái tháo đường nhiều năm—đây đều là các yếu tố nguy cơ quan trọng của bệnh lý tim mạch, trong đó có phình động mạch chủ. Ngay khi tiếp nhận, các bác sĩ tiến hành thăm khám toàn diện và chỉ định các thăm dò cận lâm sàng như chụp cắt lớp vi tính đa dãy (CT scanner), siêu âm tim – mạch máu và các xét nghiệm cần thiết. Kết quả cho thấy người bệnh có phình động mạch chủ, tiềm ẩn nguy cơ biến chứng nặng nếu không được can thiệp kịp thời.


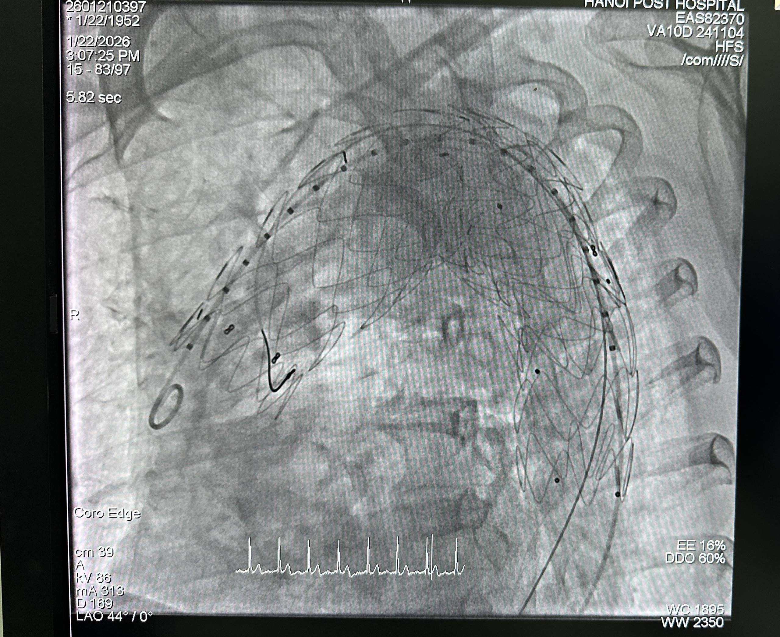
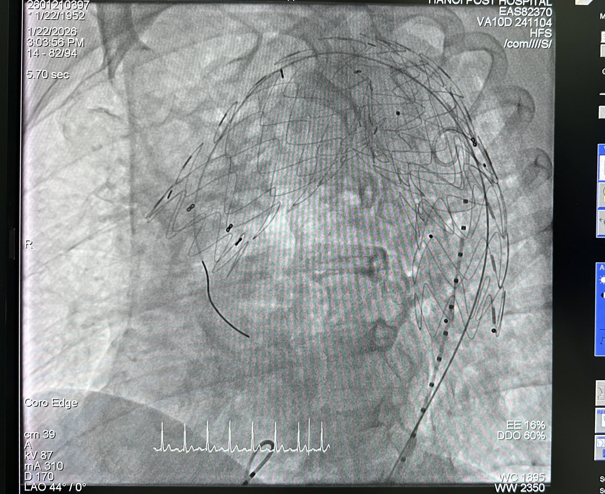
Sau hội chẩn chuyên môn và đánh giá toàn diện bệnh lý nền, thể trạng người bệnh cũng như nguy cơ phẫu thuật, ê-kíp thống nhất lựa chọn phương pháp đặt stent graft nội mạch. Phương pháp này hạn chế xâm lấn, thường không cần gây mê toàn thân, giúp giảm nguy cơ biến chứng và đặc biệt phù hợp với người bệnh cao tuổi có nhiều bệnh lý mạn tính kèm theo. Trong quá trình can thiệp, dưới hướng dẫn hình ảnh DSA, ê-kíp định vị chính xác vị trí túi phình và triển khai stent graft an toàn. Stent graft che phủ hoàn toàn túi phình, tái lập dòng chảy qua động mạch chủ, qua đó phòng ngừa nguy cơ vỡ phình—một biến chứng có thể đe doạ tính mạng. Toàn bộ thủ thuật diễn ra thuận lợi; người bệnh tỉnh táo, các chỉ số sinh tồn được theo dõi liên tục bằng hệ thống monitoring.
Sau can thiệp, tình trạng đau ngực và khó thở của ông C. cải thiện rõ rệt; các chỉ số sinh tồn ổn định. Người bệnh nhanh chóng hồi phục, sớm có thể vận động nhẹ và sinh hoạt trở lại. Kết quả kiểm tra sau can thiệp ghi nhận stent graft hoạt động ổn định, chưa phát hiện biến chứng, cho thấy hiệu quả và tính an toàn của phương pháp.
Người bệnh tiếp tục được theo dõi sát tại Khoa Hồi sức Cấp cứu để phát hiện sớm và xử trí kịp thời các bất thường (nếu có).
Thành công của ca can thiệp nội mạch cho thấy năng lực triển khai các kỹ thuật can thiệp mạch máu hiện đại của Bệnh viện Bưu điện, góp phần nâng cao chất lượng khám, chữa bệnh và đáp ứng nhu cầu chăm sóc sức khoẻ của người dân.
------------------------------------------
Tổng đài Chăm sóc khách hàng Bệnh viện Bưu điện: 1800 6090