Tổng đài CSKH: 18006090 Đường dây nóng: 091 4642628 Cấp cứu: 024 36402308
ĐAU TỨC VÙNG THƯỢNG VỊ, ĐẦY BỤNG, CHÁN ĂN… CÓ THỂ LÀ DẤU HIỆU UNG THƯ HANG VỊ DẠ DÀY
Lượt xem: 1415
Các bác sĩ khoa Ngoại Tổng hợp Bệnh viện Bưu điện vừa phẫu thuật thành công cho người bệnh N.T.N (83 tuổi, Hưng Yên) mắc ung thư hang vị dạ dày. Đây là một trường hợp đặc biệt khó, người bệnh lớn tuổi có bệnh lý phức tạp, khối u đã xâm lấn sâu vì vậy cần sự phối hợp chặt chẽ giữa các chuyên khoa và ê-kíp phẫu thuật dày dạn kinh nghiệm, có chuyên môn cao. Ung thư hang vị dạ dày là căn bệnh nguy hiểm nhưng thường tiến triển âm thầm, ít biểu hiện rõ ràng, do đó mọi người nên đi kiểm tra sức khỏe định kỳ để phát hiện sớm và điều trị kịp thời.
Anh-tin-bai
Anh-tin-bai

Hình ảnh nội soi khối ung thư hang vị dạ dày

Người bệnh N.T.N (83 tuổi, Hưng Yên) nhập viện Bưu điện trong tình trạng đau tức vùng thượng vị, chậm tiêu, gầy sút cân rõ rệt trong khoảng một tháng gần đây. Qua thăm khám lâm sàng, nội soi dạ dày, sinh thiết tổn thương và chụp cắt lớp vi tính ổ bụng, các bác sĩ xác định người bệnh bị ung thư hang vị dạ dày, khối u đã xâm lấn qua thành dạ dày và di căn đến một số hạch bạch huyết vùng lân cận.

Anh-tin-bai
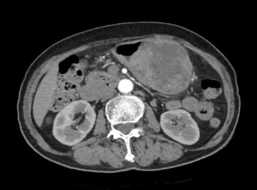
Anh-tin-bai
Hình ảnh chụp CT khối ung thư hang vị dạ dày

Theo các Bác sĩ, những triệu chứng ban đầu của ung thư dạ dày nói chung và ung thư hang vị dạ dày nói riêng như đầy bụng, khó tiêu, chán ăn, sụt cân, đau âm ỉ vùng thượng vị thường dễ bị người bệnh bỏ qua hoặc nhầm lẫn với rối loạn tiêu hóa thông thường. Vì vậy khi người bệnh đến nhập viện để điều trị thì khối u đã phát triển và lan rộng, việc phẫu thuật triệt căn trở nên khó khăn hơn và nguy cơ biến chứng cao hơn. Ở trường hợp người bệnh N. khối ung thư được phát hiện ở giai đoạn chưa di căn xa nên may mắn vẫn có cơ hội được phẫu thuật triệt căn giúp cải thiện tình trạng sức khỏe và chất lượng cuộc sống sau này.

Anh-tin-bai

Ê-kip bác sĩ khoa Ngoại Tổng hợp Bệnh viện Bưu điện thực hiện phẫu thuật cho người bệnh N.

Sau khi hội chẩn, người bệnh được chỉ định phẫu thuật cắt gần toàn bộ dạ dày, nạo vét hạch D2 và nối dạ dày – hỗng tràng kiểu Finsterer. Đây là ca phẫu thuật phức tạp nhằm loại bỏ triệt để khối u và các hạch vùng đồng thời đảm bảo lưu thông tiêu hóa cho người bệnh sau phẫu thuật. Dưới bàn tay khéo léo của các phẫu thuật viên khoa Ngoại Tổng hợp, ca phẫu thuật diễn ra an toàn, thuận lợi và thành công.
2 ngày sau phẫu thuật, người bệnh đã trung tiện được, có thể ăn cháo loãng, uống sữa, tập ngồi dậy vận động nhẹ nhàng để sớm phục hồi chức năng tiêu hóa. Đến ngày thứ 9, người bệnh ăn uống tốt, vết mổ liền, không đau, sức khỏe ổn định và được xuất viện về nhà theo dõi. Người bệnh tiếp tục điều trị hóa chất bổ trợ đường uống theo phác đồ của bác sĩ chuyên khoa ung bướu sau khi phẫu thuật.
Các bác sĩ khoa Ngoại Tổng hợp Bệnh viện Bưu điện khuyên người dân, nhất là những người ở độ tuổi trung niên và cao tuổi nên khám sức khỏe định kỳ 6 tháng một lần, nội soi dạ dày khi có triệu chứng bất thường nhất là khi bị đau thượng vị kéo dài, chán ăn, gầy sút cân hoặc có tiền sử viêm loét dạ dày lâu năm. Phát hiện bệnh sớm không chỉ giúp người bệnh điều trị hiệu quả hơn mà còn giảm chi phí và rút ngắn thời gian hồi phục.
Để được tư vấn và đặt lịch khám tại Khoa Ngoại Tổng Hợp Bệnh viện Bưu điện vui lòng liên hệ Hotline: 024 3640 0539
-----------------
Tổng đài Chăm sóc khách hàng Bệnh viện Bưu điện: 18006090